В холодный зимний день, бригадой скорой медицинской помощи по направлению амбулаторного невролога, в приемное отделение Московской областной больницы имени профессора Розанова В.Н. был доставлен мужчина 45 лет с жалобами на интенсивные боли в пояснице и нижних конечностях.
С учетом данных амбулаторных обследований и клинической картины дорсопатии пояснично-крестцового отдела позвоночника (группа заболеваний костно-мышечной системы и соединительной ткани) и двусторонней люмбоишалгии (боль в пояснице с иррадиацией в ягодицу, в ногу, по задней поверхности ноги) он был госпитализирован в неврологическое отделение.
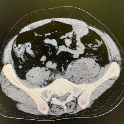
При дообследовании в стационаре выявлены высокие показатели маркеров воспаления, указывающие на септическое состояние пациента, плюс усиливающиеся боли… Дальнейшее обследование мужчина уже проходил в реанимации. По результатам компьютерной томографии у него выявлен ранее перенесенный перелом суставных отростков 4-го поясничного позвонка и абсцесс в структуре правой поясничной мышцы - источник сепсиса установлен. Именно этот абсцесс доставлял пациенту столько страданий и даже мешал лежать на спине.
«Вскрытие гнойных полостей в этой анатомической области представляет значительные трудности для хирурга и большой травматизм операции для пациента, - говорит проводивший операцию заведующий отделением экстренной хирургии Артем Александрович Косов. - В виду чего было принято решение о попытке минимально инвазивного вмешательства, избежав полостной операции с неизбежным рассечением мышечной ткани. Мы нашли небольшое ультразвуковое окно, позволяющее произвести дренирование указанного абсцесса, через переднюю брюшную стенку, при этом не затрагивая брюшную полость».
Ювелирно, под местной анестезией и в миллиметровой близости от магистральных сосудов (подвздошные артерия и вена проходили в 3 мм от места пункции) и сигмовидной кишки (расстояние до нее составляло 5 мм), наши врачи под УЗИ-контролем выполнили пункционное дренирование полости абсцесса, эвакуировав 400 мл гноя!
Буквально «на игле» пациент ощутил значительное облегчение и купирование болевого синдрома, восстановились движения в нижних конечностях. Уже к утру следующего для явления сепсиса начали разрешаться, и пациент был переведен из реанимации в отделение, правда уже не в неврологическое, а в хирургическое.
«Qui bene diagnoscit, bene curat» («Кто хорошо диагностирует, тот хорошо лечит») - так говорил Клавдий Гален, - резюмирует врач. - Правильно поставленный диагноз и локализация места проблемы позволили нам с минимальным травматизмом для пациента решить проблему».
Сейчас мужчина уже выписан из стационара, а восстановительный период после такого вмешательства займет совсем немного времени.
Лариса Кондратенко, ГБУЗ МО "Московская областная больница им. проф. В.Н.Розанова"